World Renowned Dental Implant Center
Cosmetic Dental Experts
Why we are the #1 Choice for U.S., U.K., and Europe








12K +
Implants Placed
Every Year
600 +
Patients Served
Every Month
10000
Square Meters
Advanced Facilities
200+
Professional
Dedicated Staff
Nobody changes smiles better than Cosmedic Express!
We specialize in zygomatic implants placing us in the top 5% off all clinics in Europe!
We team has invested over a Quarter Million Euros in PIC Dental Systems as well as the world's best facial scanner - RayFace - for unmatched accuracy of our finished dental work (implants/crowns).
Shop around all you want (we love that) and you will not find a group of dental experts with our advanced equipment and that is why a Cosmedic Smile is ALWAYS The Best Smile money can buy!
Why are Cosmedic Express Smiles Better?
Dental Implants
Dental implants are done every single day by Cosmedic Express and have become a popular and effective solution for replacing missing teeth.
An implant is an artificial tooth root, made of titanium, that is surgically placed into the jawbone, giving you a strong, stable foundation for a replacement tooth or teeth.
The key components of the implant are the IMPLANT (inserted into the jawbone), the ABUTMENT (a connecting piece) and the RESTORATION (Crown or Bridge)
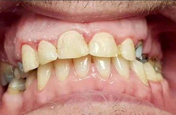
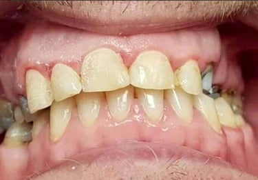
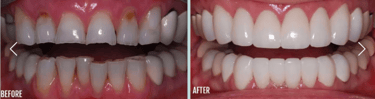
See Our Results Below:



AS SEEN IN:





All-on-4 and All-on-6
All-on-4 and All-on-6 are specialised dental implant techniques, designed to replace a full set of teeth on either jaw, or both, using a minimal number of implants.
These methods offer a fixed, long-lasting alternative to traditional removable dentures, providing a more stable and natural-feeling solution.
Which procedure is suitable for the patient depends upon factors such as bone density, lifestyle and budget.
Your Cosmedic Express dental surgeon will be able to offer you the best advice.


Crowns
A dental crown is a custom-made, tooth-shaped "cap" that is placed over a damaged, decayed, or weak tooth.
It completely covers the visible portion of the tooth, restoring its shape, size, strength, and appearance.
Think of it as a protective helmet for your tooth.
Typically, crowns will now be made from Zirconia but porcelain, PFM (porcelain fused to metal) and metal are also available.
Using the latest CAD/CAM technology and having our own laboratory, we are able to complete crown work (without implants) within 3-5 days.




Veneers
Dental veneers are thin, custom-made shells designed to be placed on the front surface of your teeth.
They are a popular cosmetic dental treatment used to correct a wide range of imperfections and give you a more uniform, aesthetically pleasing smile.
However, with veneers, there is very little wiggle room. Whilst great for stains, chips and small gaps, anything more than ‘minor’ makes veneers unsuitable.
Your Cosmedic Express personal consultant will be able to advise you on your options.


Everything You Need, Under One Roof
At Cosmedic Express, we’ve invested in bringing everything under one roof. This allows our dental surgical teams to work side by side with experienced technicians to ensure each crown, bridge, or implant-supported prosthetic is crafted with unmatched accuracy using only the highest quality materials and completed faster than anyone else in the industry!


PIC Dental System – Unparalleled Accuracy in Implant Prosthetics
The PIC Dental System revolutionizes the way we capture implant positions. Utilizing high-precision photogrammetry, this system records the exact 3D location of dental implants with an error margin of less than 10 microns.


Benefits:
Exceptional Precision: Ensures a perfect fit for implant-supported prosthetics.
Reduced Appointments: Minimizes the need for adjustments and multiple visits.
Enhanced Comfort: Eliminates the discomfort associated with traditional impressions.
Long-Term Success: Promotes the longevity and stability of dental restorations.
By incorporating the PIC Dental System, we ensure that your implant restorations are crafted with the highest level of accuracy and efficiency.
RayFace 3D Facial Scanner – Personalized Smile Design


The RayFace 3D Facial Scanner captures high-resolution, full-color 3D images of your face in just 0.5 seconds. This advanced imaging technology allows us to design dental restorations that harmonize with your unique facial features.
Benefits:
Rapid Scanning: Completes facial scans in half a second.
Non-Invasive: Provides a comfortable, contact-free experience.
Customized Aesthetics: Facilitates the creation of natural-looking restorations.
Enhanced Communication: Enables clear visualization of treatment outcomes.
Cosmedic Express dental experts use RayFace to ensure that your new smile not only functions flawlessly but also complements your appearance.
Why Cosmedic Express? Our Results tell the Story!








Cosmedic Express Dental Services Cost Up To 70% Less
We Make the Entire Process Easy
Free Quote and Treatment Plan: Based on your information, we provide a detailed treatment plan and cost estimate to remove any guesswork.
Best Quality and Pricing: Premium dental services are up to 70% less expensive which makes quality care much more accessible.
Travel Arrangements: For treatments over €3,000, we offer free hotel accommodation for the patient and on treatments over €5,000, we also refund up to €200 of the patient’s flight or ferry flight ticket.
Arrival: Our team will pick you up from the airport.
Dental Treatment: Receive your treatment in our state-of-the-art facility, with procedures performed by our expert team.
Departure: We ensure your return journey is as smooth as your arrival, with continued support as needed.
Post-Treatment Care: We provide detailed aftercare instructions and remain available for any follow-up consultations.






Excellence
Leading cosmetic procedures with global recognition and value.
We Are ISO 27001 Certified
Info@CosmedicExpress.com
© 2017 - 2025. All rights reserved.


